Dental Laboratory

Associates, Inc.

1312 Drayton Street
Savannah, GA 31401

ph: 912 238 0342
fax: 912 238 3049
alt: 800 831 0863

dentalinc1@outlook.com

  • Home
  • Services
  • About Us
  • Contact Us
  • ImplantsClick to open the Implants menu
    • Custom Impression Coping
    • Closed Tray Impression
    • Open Tray Impression
    • Encode® Impression Technique
    • Bars
    • Digital Implant Dentistry
    • Denture Conversion To Hybrid Provisional Restoration
  • Ceramics
  • Diagnostics
  • Removables
  • Southeast Georgia Dental Study Club

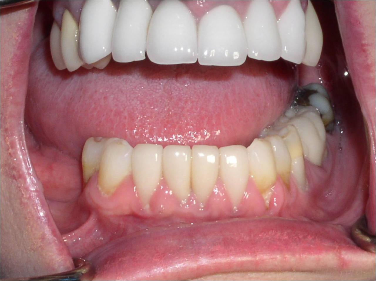
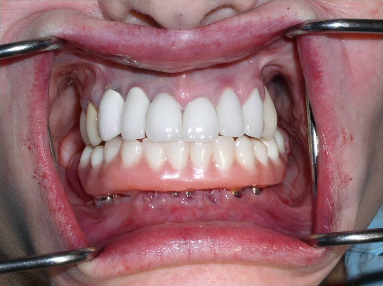
Denture Conversion To Hybrid Provisional Restoration

Sequence of Appointments:

First Appointment: Initial Impressions; 1 Hour

Second Appointment: Bite rims and verify the vertical dimension of occlusion; 1 Hour

Third Appointment: If patient is edentulous, try-in set-up 1 Hour

Fourth Appointment: Day of surgery, implant placement and denture conversion; 4 hours

Patient should be instructed to remain on a soft diet until implants osseointegrate!

Patient should be recalled a few weeks after surgery making sure there are no complications and patient is practicing good hygiene!

 

 

Click on image to view slide presentation!

 

Copyright 2010 Dental Laboratory Associates, Inc.. All rights reserved.

Web Hosting by Turbify

1312 Drayton Street
Savannah, GA 31401

ph: 912 238 0342
fax: 912 238 3049
alt: 800 831 0863

dentalinc1@outlook.com