1312 Drayton Street
Savannah, GA 31401
ph: 912 238 0342
fax: 912 238 3049
alt: 800 831 0863
dentalin
Custom Impression Copings:
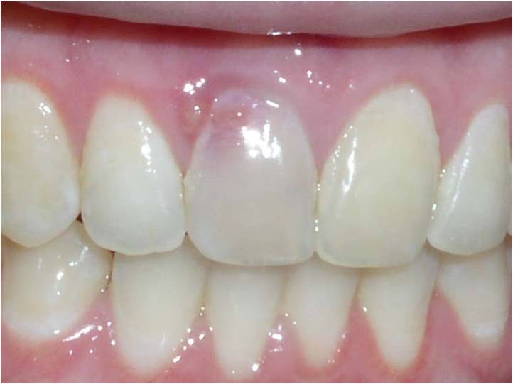
The problem we have restoring implants in the Esthetic Zone is we have soft tissue considerations as well as restorative. The soft tissue around natural teeth is supported by CEJ and connective tissue attachment; implants don't have these same attachments and require physical support from the restoration. Patient Specific Provisionals make the transition from a round implant to a three dimensional form of a tooth as it emerges through the soft tissue providing the needed support for the soft tissue.
Preserve the foundation!!!






Dentistry by Walker Pendarvis DMD, MHS
Customize your impression coping!!!

Custom impression coping.


Place the provisional onto an analog.


Submerge temp-analog into puddy up to the height of contour and allow to set. Make note of the facial aspect.

Index of the subgingival contours of the provisional.

Place an impression coping into the analog!

Inject light cured composite into the index!

Customized Impression Coping. Make an implant level impression!

Profile view of what the custom impression coping will capture so the laboratory can provide a more accurate emergence profile for the final restoration.
Copyright 2010 Dental Laboratory Associates, Inc.. All rights reserved.
1312 Drayton Street
Savannah, GA 31401
ph: 912 238 0342
fax: 912 238 3049
alt: 800 831 0863
dentalin